fujifilm logo
Your Cart
nurapoints
Discover and collect Nura Points by logging in or creating an account.
LOGIN
Booking a package only for yourself?
Your Cart is Empty!
Explore packages to add items to your cart
SEE PACKAGES
Continue to Book Package
PROCEED

Choose your preferred city

Dubai

nura-home-carousel1

Better Outcome with AI Technology

Our cutting-edge imaging devices enable accurate, comfortable, and safe screening

Using intelligent AI technology to improve your screening experience
At NURA, our screening experience is designed to suit your busy life. Our technology provides quick and accurate results, while always keeping your safety in mind. Our machines are minimally invasive and ergonomically designed to ensure that your experience is comfortable.
couple

coupleAI TECHNOLOGY

Artificial Intelligence is the next big step in healthcare technology, and Fujifilm is at the forefront of this movement. Our legacy in high-quality scanning and image processing allows us to train AI systems with decades of imaging data.

Our AI technology is improving outcomes for both the patient and the doctor by making the screening process safer and more accurate.

Artificial Intelligence describes the ability of computer programs and machines to mimic human intelligence. It can be further broken down into Machine Learning and Deep Learning.

Machine Learning involves a set of techniques that allow machines to improve at tasks over time. Fujifilm Healthcare's machines get better at predictions as they continue to gather, classify, and examine large amounts of medical images.

Deep Learning is one of the techniques within Machine Learning. It allows the program to use ‘artificial neural networks’ to perform a task repeatedly. The program learns from every cycle and modifies its approach a little each time to produce more accurate results. This technique helps our machines in reconstructing images, enhancing the sharpness of low-resolution scans, and in early detection of cancers.

AIML

Fujifilm Healthcare’s vast data set of radiology images and decades of experience in the field has helped us develop advanced AI technologies that empower radiologists and doctors. Our AI allows them to read scans more efficiently and accurately, helping them make quick and intelligent decisions.

AI technology makes the screening process safer by allowing us to use ultra-low doses of radiation. Sharper images have previously only been possible with larger doses of radiation.

Our AI technology processes the low-dose scan and compares them to similar scans in Fujifilm’s vast library of imaging data. This enables us to sharpen the low-dose image and identify problems that would be missed by the naked eye.

AIML

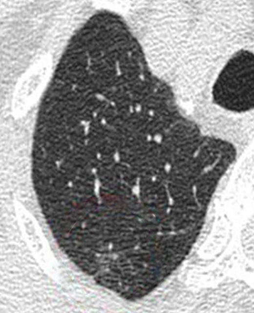
Ultra Low-Dose Scan

A regular scan at ultra-low dose radiation is noisy and unclear, making it possible to overlook a problem.

AIML

High-Dose Scan

The same scan with a higher dose of radiation reveals an abnormality.

AIML

AI Enhanced Ultra Low-Dose Scan

Our AI technology is able to sharpen the quality of the ultra-low dose scan to assist the doctor in early detection.

How low is ultra-low radiation?
based on lung cancer CT scan at ultra low dose (0.1mSv)
1/50 Lower
radiation than regular imaging
machines
DXB NYC
equal to a round trip flight
from Dubai to New York

REiLi is our AI technology that uses deep learning and Fujifilm’s extensive image processing database to detect abnormalities automatically. This helps doctors accurately recognize the affected area and reduce the time taken by radiologists to interpret the scan.

FCT PixelShine is our Deep Learning based image processing software that improves the image quality of low-dose radiation scans. Sharper images have previously only been possible with high doses of radiation. FCT PixelShine enables our machines to produce a sharp, clear image even at ultra-low dose radiation.

nura-home-carousel1
Safe • Accurate • Takes just 20 minutes

A computerized tomography scan, more commonly called a CT scan, allows doctors to see internal organs in much greater detail than a regular X-ray. It takes a series of X-ray images at various angles around your body and processes it together to create multiple cross-sectional images (slices) of the scanned body part.

 

Designed to ease your anxiety
Our CT scan machines are designed to make the screening process as comfortable as possible. Our gantry bore (the opening in the CT machine) is larger than other machines to reduce the feeling of claustrophobia and ease your anxiety.
nura-home-carousel1
nura-home-carousel1

 

The accuracy of high-speed scanning
Our high speed scanning means you only need to hold your breath for 7-8 seconds. We use the latest 3D reconstruction technology that provides rapid coverage for an efficient and precise examination.
https://beta.nura.ae